Wisdom tooth decay is a frequent problem that affects many young adults. This is because the position of wisdom teeth at the back of the mouth makes them particularly challenging to clean, increasing the risk of decay.
When decay develops, it can cause pain, infection and complications that affect nearby teeth and gums. Recognising wisdom tooth decay early is vital because intervention can prevent long-term damage and preserve your oral health.
Why Wisdom Teeth Decay Easily
Wisdom teeth are tucked at the back of your mouth, which makes them harder to brush and floss effectively. Food particles and bacteria can easily accumulate in these areas, particularly if the teeth only partially erupt, creating gum pockets that are ideal for bacterial growth.
Even individuals with otherwise excellent oral hygiene can struggle to maintain cleanliness in these deep, hard-to-reach areas.

Causes of Wisdom Tooth Decay
Several factors contribute to the cause of wisdom tooth decay. Poor oral hygiene is the most significant contributor, especially if combined with a diet high in sugar and starches, as this encourages bacterial growth.
Impacted wisdom teeth that erupt at an angle or fail to emerge fully are particularly prone to hidden cavities. This is because crowded jaws can make access even more challenging for cleaning the teeth, thereby increasing their risk of decay and other complications.
Lifestyle factors, such as smoking, excessive alcohol and high caffeine intake increase the risk, as do conditions like dry mouth or a weakened immunity.

Early Stage Wisdom Tooth Decay
In its early stages, wisdom tooth decay may be subtle. Regularly check for signs of decay in your mouth, especially at the back, where wisdom teeth are typically located. Mild discomfort at the back of the mouth, slight gum irritation, or sensitivity to hot and cold foods can be early warning signs. The best way to detect wisdom tooth decay early is with regular check-ups with a dental professional, who can assess your oral health best.
Some patients experience persistent bad breath despite regular brushing, which is often a result of bacteria accumulating around the teeth and gums. Identifying these signs is important because early intervention allows for simpler treatment, such as cleaning and fillings, before the decay progresses to infection or requires removal of the wisdom tooth.

Infected or Decayed Wisdom Tooth Symptoms
As decay worsens, the symptoms will become harder to ignore. If you notice any unusual pain or swelling in your mouth, it could be a sign of wisdom tooth decay. A decayed wisdom tooth may cause persistent throbbing pain, swollen or inflamed gums, and bad taste in the mouth from pus discharge.
Visible cavities or dark spots on the tooth surface may appear. Infections can spread beyond the local area, resulting in swollen lymph nodes, a low-grade fever, or fatigue. Chewing and even opening the mouth may become difficult due to stiffness and swelling. All of these are classic symptoms of wisdom tooth decay that should not be overlooked, as they indicate an infection requiring prompt care.

What to Do If You Suspect Wisdom Tooth Decay
If you suspect you may have a cavity in a wisdom tooth, it is essential to consult your dentist promptly. Your dentist will carefully examine the tooth and may take X-rays to assess the extent of the decay. Depending on the extent of the cavity, your dentist will recommend the most suitable treatment, which may include a filling, root canal or extraction.
While waiting for your appointment, you can manage your discomfort by rinsing your mouth with warm salt water and avoiding foods and drinks that are high in sugar or are acidic. Importantly, regular dental check-ups are crucial for detecting wisdom tooth decay early, thereby reducing the risk of complications and promoting overall oral health.

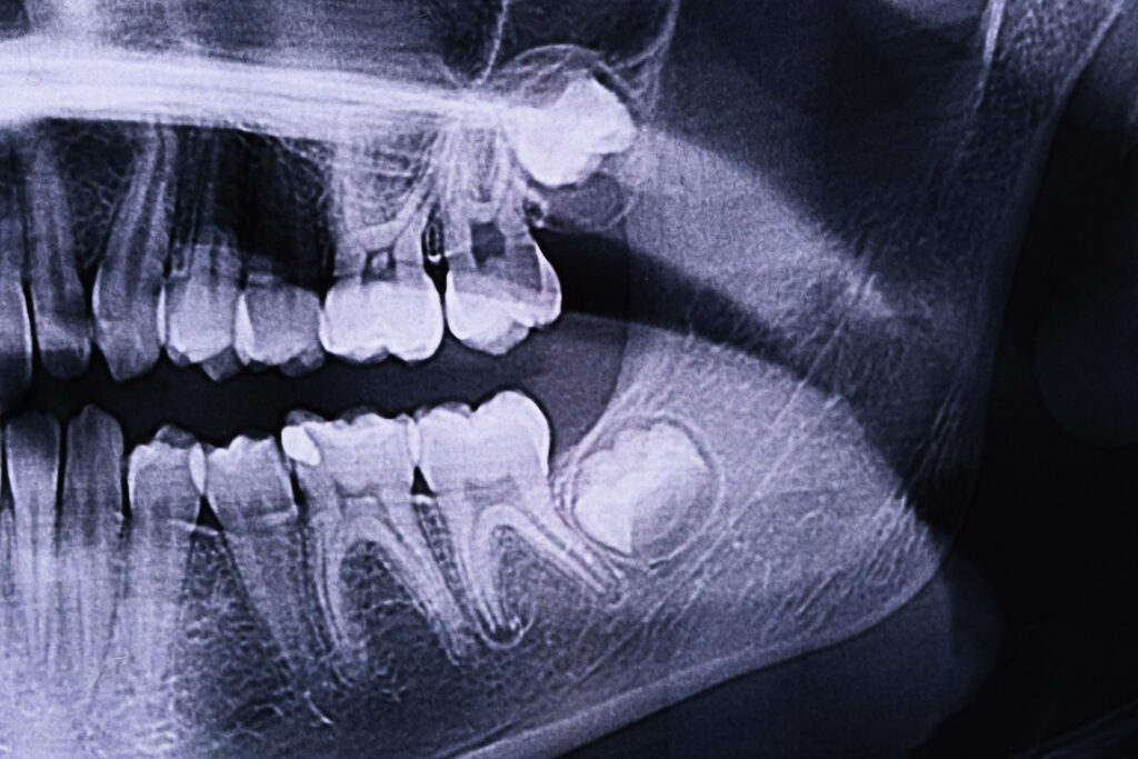
Diagnosis
Dentists diagnose wisdom tooth decay through a combination of clinical examination and imaging. Distinguishing decay from normal eruption discomfort is especially important, since teething-related soreness can mimic the early signs of infection.
Visual inspections will reveal early signs, such as enamel breakdown, swelling or gum tenderness. Bitewing X-rays and panoramic scans will help detect cavities hidden below the gum line or inside impacted teeth, which are not visible to the naked eye. When the decay is complex or the impaction is severe, referral to an oral and maxillofacial specialist may be recommended for further evaluation.

Treatment Options for Wisdom Tooth Decay
Treatment options for wisdom teeth depend on the severity of the decay and the condition of the tooth. If the decay is caught early and the tooth is accessible, dental fillings may be used to restore the structure of the wisdom tooth and surrounding teeth.
In rare cases, root canal treatment or crowns may be considered if the tooth plays an important role in the bite. However, because wisdom teeth often contribute little to dental function and are difficult to clean, decayed wisdom teeth removal is usually recommended when decay is advanced or the tooth is difficult to clean.
Decayed wisdom tooth extraction may be performed surgically or non-surgically, depending on the impaction and severity. Impacted teeth typically require surgical removal, which involves an incision in the gum and, occasionally, sectioning the tooth for easier removal.
For patients experiencing acute pain due to wisdom tooth decay, dentists may prescribe antibiotics and pain relief as a short-term measure until treatment can be performed. Recovery from extractions typically takes one to two weeks, during which swelling and discomfort gradually subside.

Preventing Wisdom Tooth Decay
Prevention plays a central role in reducing the risk of wisdom tooth decay infection. Brushing with a fluoride toothpaste at least twice a day and using interdental brushes or water flossers can help improve cleaning around the molars and wisdom teeth. Antibacterial or fluoride mouth rinses will provide an extra layer of protection against bacterial growth. Avoiding excessive sugary foods, smoking and alcohol will also lower the risk of decaying wisdom teeth significantly.
Regular dental check-ups allow dentists to monitor the position and health of wisdom teeth, recommending intervention before complications arise. Preventive extractions are sometimes advised when wisdom teeth are impacted and unlikely to erupt properly.

FAQs about Wisdom Tooth Decay
Can wisdom tooth decay spread to other teeth?
Yes, decay and infection can spread to neighbouring molars, increasing the risk of multiple cavities and gum disease.
How can I tell if my wisdom tooth is infected or simply erupting?
Normal eruption causes mild temporary discomfort, while infection presents with persistent pain, swelling, bad breath, or discharge of pus. Consult a dental professional for an accurate diagnosis of your wisdom tooth.Â
Is extraction always necessary for a decayed wisdom tooth?
Not always. Minor cavities can sometimes be filled, but extraction is often preferred if the tooth is impacted or difficult to maintain.
What are the best ways to get wisdom tooth infection pain relief at home before seeing a dentist?
Rinsing with warm saltwater, applying a cold compress, and taking over-the-counter pain relief may provide temporary relief from discomfort.
Can you fill a wisdom tooth cavity instead of removing it?
Yes, but only if the tooth is fully erupted and accessible. If decay is severe or the tooth is impacted, extraction is usually recommended.
Spot Early Signs of Wisdom Tooth Decay and See a Dentist
If you are experiencing wisdom tooth decay pain, or suspect a wisdom tooth infection, seek professional help promptly. At TEETH @ Tiong Bahru, our dentists provide thorough assessments, personalised treatment plans and expert care for wisdom tooth problems. Contact us today to book a consultation and protect your long-term oral health.
RELATED WISDOM TOOTH EXTRACTIONS





